Perfil del caso
-
Paciente: Varón, 48 años
-
Centro: Clínica Cavadas, Valencia
-
Especialidad: Cirugía de mano y miembro superior
-
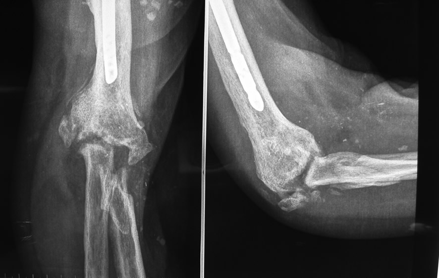
Diagnóstico: Secuela fractura codo
-
Resultado: Codo funcional en paciente con contraindicación de prótesis
Caso clínico · Cirugía de mano y miembro superior
Secuela de fractura de codo: reconstrucción totalmente autóloga
Paciente de 48 años que acude por destrucción de articulación de codo, secuela de fractura múltiplemente operada.
01. Evolución del problema
Paciente de 48 años que acude por destrucción de articulación de codo, secuela de fractura múltiplemente operada.
- Múltiples cirugías previas sin éxito
- Poca movilidad de codo
- Dolor articular
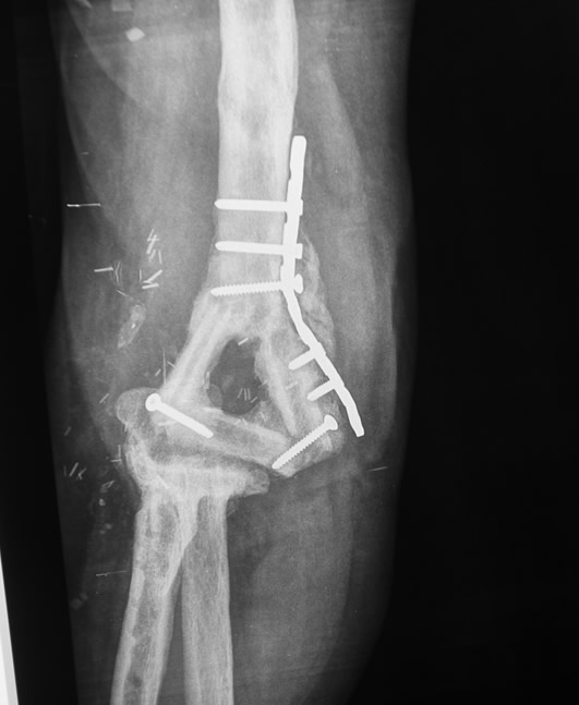
02. Tratamiento realizado
Paciente de 48 años que acude por destrucción de articulación de codo, secuela de fractura múltiplemente operada.
Paso 1: Reconstrucción extremo distal de codo con hueso vascularizado
Transferencia de hueso vascularizado de cresta ilíaca tallado a la forma de cúbito proximal.
Paso 2: Reconstrucción de extremo proximal codo con hueso vascularizado
Reconstrucción de húmero distal con transferencia microvascular de peroné tallado.
Paso 3: Reconstrucción de ligamentos
Reconstrucción de ligamentos laterales de codo con injertos tendinosos.
03. Resultado
El resultado funcional fue excelente con movilidad y estabilidad normales del codo y ausencia de dolor.
- Reconstrucción totalmente autóloga (tejido propio)
- Función casi normal e indolora del codo reconstruido
04. Imágenes del caso



¿Es su caso?
Cuéntenos su situación
Revisaremos su caso y le daremos una respuesta honesta. Sin compromiso.
Cómo trabajamos
El proceso paso a paso
Desde la primera consulta hasta el seguimiento postoperatorio, acompañamos a cada paciente en cada etapa de su proceso.
01
Primera Consulta
02
Planificación Quirúrgica
Estudios preoperatorios, planificación 3D cuando es necesario, preparación del equipo quirúrgico y programación.
Simulación quirúrgica anatómica en los casos más complejos.
03
Intervención Quirúrgica
Quirófanos de última generación, técnicas microquirúrgicas avanzadas.
Según procedimiento
04
Recuperación
Hospitalización según procedimiento, control postoperatorio inmediato, manejo del dolor e indicaciones personalizadas.
Variable05
Seguimiento
Revisiones programadas, rehabilitación cuando es necesaria, atención continuada y
disponibilidad ilimitada de consultas postoperatorias
Continuo