Perfil del caso
-
Paciente: Mujer, 41 años
-
Año del caso: 20XX
-
Centro: Clínica Cavadas, Valencia
-
Especialidad: Cirugía de miembro inferior
-
Diagnóstico: Prótesis oncológica de rodilla infectada y expuesta
-
Resultado: Extremidad preservada. Deambulación a los 20 meses
Caso clínico · Cirugía de miembro inferior
Megaprótesis oncológica infectada: reconstrucción de rodilla con tejido propio
Paciente de 41 años con antecedentes de osteosarcoma de rodilla previamente intervenida con una prótesis oncológica. La prótesis está infectada, expuesta y en una extremidad lesionada por la radioterapia. La amputación es el único tratamiento que le han recomendado.
01. Evolución del problema
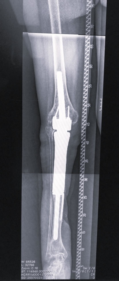
- Megaprótesis oncológica de rodilla infectada
- Defecto masivo articular con exposición de la prótesis
- Contraindicación de recambio protésico
02. Tratamiento realizado
La reconstrucción se realizó en tres fases quirúrgicas mediante una técnica desarrollada por el Dr. Cavadas para casos extremos, que permite reconstruir la rodilla con tejido propio del paciente.
Paso 1: Retirada de prótesis, espaciador y cobertura estable
Retirada de la prótesis infectada. Colocación de espaciador de metacrilato con antibióticos y cobertura del defecto con transferencia microvascular ALT.
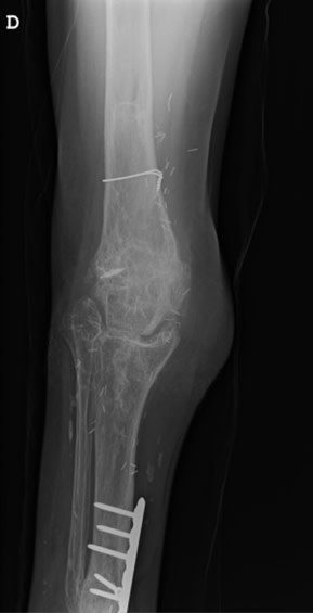
Paso 2: Retirada del espaciador y reconstrucción de rodilla con articulación del tobillo
Paso 3: Reconstrucción del defecto de tobillo con peroné microvascular
03. Resultado
El resultado funcional fue excelente con preservación de la pierna. La paciente pudo caminar a los 20 meses de la intervención. Una técnica única desarrollada por el Dr. Cavadas que permite evitar la amputación en casos extremos de prótesis oncológica infectada.
- Técnica desarrollada por el Dr. Cavadas para casos extremos
- Única técnica que permite reconstruir la rodilla con tejido propio del paciente
- La paciente hace vida normal
04. Imágenes del caso






¿Es su caso?
Cuéntenos su situación
Revisaremos su caso y le daremos una respuesta honesta. Sin compromiso.
Cómo trabajamos
El proceso paso a paso
Desde la primera consulta hasta el seguimiento postoperatorio, acompañamos a cada paciente en cada etapa de su proceso.
01
Primera Consulta
02
Planificación Quirúrgica
Estudios preoperatorios, planificación 3D cuando es necesario, preparación del equipo quirúrgico y programación.
Simulación quirúrgica anatómica en los casos más complejos.
03
Intervención Quirúrgica
Quirófanos de última generación, técnicas microquirúrgicas avanzadas.
Según procedimiento
04
Recuperación
Hospitalización según procedimiento, control postoperatorio inmediato, manejo del dolor e indicaciones personalizadas.
Variable05
Seguimiento
Revisiones programadas, rehabilitación cuando es necesaria, atención continuada y
disponibilidad ilimitada de consultas postoperatorias
Continuo