Perfil del caso
-
Paciente: Mujer, 25 años
-
Centro: Clínica Cavadas, Valencia
-
Especialidad: Cirugía de mano y miembro superior
-
Diagnóstico: Defecto humeral masivo por infección de prótesis oncológica de hombro
-
Resultado: Extremidad preservada. Miembro superior funcional
Caso clínico · Cirugía de mano y miembro superior
Defecto humeral masivo por prótesis oncológica infectada: reconstrucción con peroné microvascular
Paciente de 25 años que acude por defecto óseo masivo de húmero y hombro tras retirada de megaprótesis oncológica. La mano y el codo son funcionales pero el defecto óseo impide por completo cualquier función de la extremidad.
01. Evolución del problema
Paciente de 25 años que acude por defecto óseo masivo de húmero y hombro tras retirada de megaprótesis oncológica. La mano y el codo son funcionales pero el defecto óseo impide por completo cualquier función de la extremidad.
- Defecto óseo masivo
- Radioterapia e infección previas
02. Tratamiento realizado
Paciente de 25 años que acude por defecto óseo masivo de húmero y hombro tras retirada de megaprótesis oncológica. La mano y el codo son funcionales pero el defecto óseo impide por completo cualquier función de la extremidad.
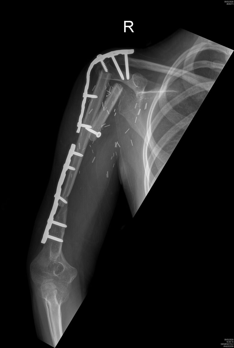
Paso 1: Reconstrucción de húmero y fusión de hombro
Se reconstruyó el húmero con colgajo microvascular de peroné tallado para optimizar la fusión del hombro.
03. Resultado
Extremidad preservada. Miembro superior funcional.
- Extremidad preservada sin amputación
- Excelente función de mano, muñeca y codo y estabilidad de hombro
- Curación de la infección
04. Imágenes del caso





¿Es su caso?
Cuéntenos su situación
Revisaremos su caso y le daremos una respuesta honesta. Sin compromiso.
Cómo trabajamos
El proceso paso a paso
Desde la primera consulta hasta el seguimiento postoperatorio, acompañamos a cada paciente en cada etapa de su proceso.
01
Primera Consulta
02
Planificación Quirúrgica
Estudios preoperatorios, planificación 3D cuando es necesario, preparación del equipo quirúrgico y programación.
Simulación quirúrgica anatómica en los casos más complejos.
03
Intervención Quirúrgica
Quirófanos de última generación, técnicas microquirúrgicas avanzadas.
Según procedimiento
04
Recuperación
Hospitalización según procedimiento, control postoperatorio inmediato, manejo del dolor e indicaciones personalizadas.
Variable05
Seguimiento
Revisiones programadas, rehabilitación cuando es necesaria, atención continuada y
disponibilidad ilimitada de consultas postoperatorias
Continuo