Perfil del caso
-
Paciente: Hombre, 41 años
-
Centro: Clínica Cavadas, Valencia
-
Especialidad: Cirugía de miembro inferior
-
Diagnóstico: Aplastamiento severo de extremidad inferior
-
Resultado: Extremidad preservada. Marcha recuperada a los 12 meses
Caso clínico · Cirugía de miembro inferior
Aplastamiento severo de pierna: salvamento de extremidad en múltiples etapas
Paciente de 41 años que acude de urgencia con aplastamiento severo de miembro inferior. Visto en otro hospital le indican amputación de extremidad como mejor tratamiento. El paciente acude para intentar salvamento de la extremidad.
01. Evolución del problema
El paciente llegó de urgencias con un aplastamiento severo de la extremidad inferior con indicación de amputación en otro centro. La lesión era de alta energía con destrucción masiva de partes blandas y fractura hiperconminuta de tibia abierta. La urgencia del caso y la gravedad de las lesiones exigían una actuación inmediata y escalonada para intentar salvar la extremidad.
- Lesión muy severa con indicación de amputación en otro hospital
- Urgencia — aplastamiento de alta energía
- Fractura hiperconminuta de tibia abierta con destrucción masiva de partes blandas
- Isquemia y riesgo de pérdida definitiva de la extremidad
- Gran defecto de cobertura de partes blandas
02. Tratamiento realizado
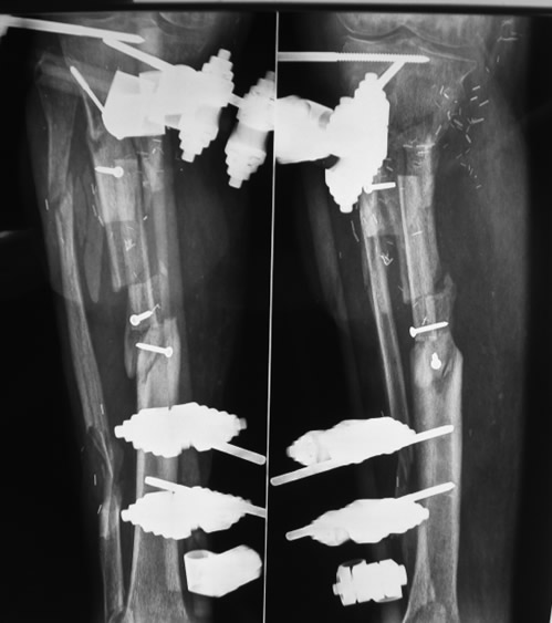
La reconstrucción se realizó en cuatro fases quirúrgicas planificadas. Se priorizó la limpieza y estabilización provisional, seguida de cobertura microvascular, reconstrucción ósea y fijación definitiva del esqueleto.
Paso 1: Limpieza quirúrgica y fijación provisional de esqueleto con fijación externa
Se limpió las heridas y se fijó provisionalmente el esqueleto con fijación externa en espera de delimitación de necrosis cutánea.
Paso 2: Resección de tejido necrótico y cobertura cutánea definitiva
A los 10 días se resecó la piel y tejidos necróticos. La herida se cubrió con transferencia microvascular de colgajo latissimus dorsi e injertos de piel.
Paso 3: Reconstrucción de defecto óseo de tibia
Se reconstruyó el defecto óseo con una transferencia microquirúrgica de peroné osteocutáneo contralateral.
Paso 4: Fijación esquelética definitiva
Se retiró el fijador externo a los dos meses y se sustituyó por una placa de osteosíntesis para permitir la rehabilitación simultánea de la rodilla.
03. Resultado
El resultado funcional fue satisfactorio con preservación de la pierna. Ausencia de dolor y deambulación correcta a los 12 meses del accidente. Un caso que demuestra que el aplastamiento severo no implica necesariamente la amputación cuando se aplica la técnica reconstructiva adecuada.
- Extremidad preservada — se evitó la amputación
- Marcha autónoma recuperada a los 12 meses
- Paciente que retoma su vida normal
04. Imágenes del caso






¿Es su caso?
Cuéntenos su situación
Revisaremos su caso y le daremos una respuesta honesta. Sin compromiso.
Cómo trabajamos
El proceso paso a paso
Desde la primera consulta hasta el seguimiento postoperatorio, acompañamos a cada paciente en cada etapa de su proceso.
01
Primera Consulta
02
Planificación Quirúrgica
Estudios preoperatorios, planificación 3D cuando es necesario, preparación del equipo quirúrgico y programación.
Simulación quirúrgica anatómica en los casos más complejos.
03
Intervención Quirúrgica
Quirófanos de última generación, técnicas microquirúrgicas avanzadas.
Según procedimiento
04
Recuperación
Hospitalización según procedimiento, control postoperatorio inmediato, manejo del dolor e indicaciones personalizadas.
Variable05
Seguimiento
Revisiones programadas, rehabilitación cuando es necesaria, atención continuada y
disponibilidad ilimitada de consultas postoperatorias
Continuo