Perfil del caso
-
Paciente: Varón, 10 años
-
Año del caso: 20XX
-
Centro: Clínica Cavadas, Valencia
-
Especialidad: Cirugía de miembro inferior
-
Diagnóstico: Osteosarcoma fémur distal con infiltración de arteria poplítea y nervio ciático
-
Resultado: Optimización del nivel de amputación. Deambulación sencilla con prótesis
Caso clínico · Cirugía de miembro inferior
Osteosarcoma femoral con afectación vascular: optimización del nivel de amputación
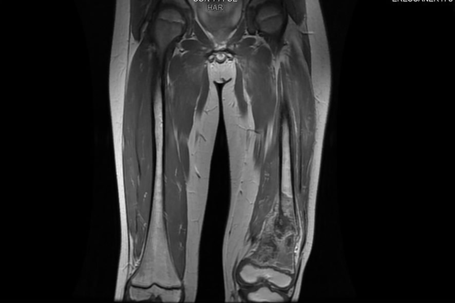
Paciente de 10 años que acude por osteosarcoma de fémur distal extracompartimental que afecta a vasos poplíteos y nervio ciático. La única opción de tratamiento que habían ofrecido era la amputación proximal trans femoral.
01. Evolución del problema
Paciente de 10 años que acude por osteosarcoma de fémur distal extracompartimental que afecta a vasos poplíteos y nervio ciático. La única opción de tratamiento que habían ofrecido era la amputación proximal trans femoral.
- Tumor secundario a tratamiento de retinoblastoma
- La afectación de vasos y nervios importantes suele ser indicación de amputación
- La función de una amputación por debajo de la rodilla es mucho mejor que por encima de ella
02. Tratamiento realizado
Paciente de 10 años que acude por osteosarcoma de fémur distal extracompartimental que afecta a vasos poplíteos y nervio ciático. La única opción de tratamiento que habían ofrecido era la amputación proximal trans femoral.
Paso 1: Resección en bloque del segmento afecto por el tumor
Se extirpó solamente la parte afecta por el tumor, con márgenes de seguridad.
Paso 2: Uso del resto de la pierna no afecta por el tumor para reconstruir un muñón más funcional
Transferencia microquirúrgica de tibia, tobillo y pie, girado 180º, para reconstruir un muñón similar a una amputación BK (debajo de rodilla), usando el tobillo como rodilla.
03. Resultado
El resultado funcional fue la curación del tumor (junto a quimioterapia adecuada), mejorando el nivel de amputación. El paciente puede caminar con una prótesis sencilla porque el tobillo funciona como una rodilla.
- Optimización funcional de la extremidad sin comprometer la seguridad oncológica
- Curación del tumor
- Deambulación optimizada
04. Imágenes del caso



¿Es su caso?
Cuéntenos su situación
Revisaremos su caso y le daremos una respuesta honesta. Sin compromiso.
Cómo trabajamos
El proceso paso a paso
Desde la primera consulta hasta el seguimiento postoperatorio, acompañamos a cada paciente en cada etapa de su proceso.
01
Primera Consulta
02
Planificación Quirúrgica
Estudios preoperatorios, planificación 3D cuando es necesario, preparación del equipo quirúrgico y programación.
Simulación quirúrgica anatómica en los casos más complejos.
03
Intervención Quirúrgica
Quirófanos de última generación, técnicas microquirúrgicas avanzadas.
Según procedimiento
04
Recuperación
Hospitalización según procedimiento, control postoperatorio inmediato, manejo del dolor e indicaciones personalizadas.
Variable05
Seguimiento
Revisiones programadas, rehabilitación cuando es necesaria, atención continuada y
disponibilidad ilimitada de consultas postoperatorias
Continuo